Northwest Kiteboarding
Forum | Classifieds | Lost & Found | CGKA | Industry | Sensors | Forecast | Spots | Seattle | Decals | RSS | Facebook

Events | Photos | Search | Register | Profile | Log in to check your messages | Log in 

I killed Tomasi
Page 1, 2  Next
 
Post new topic   Reply to topic    Northwest Kiteboarding -> Gorge / Portland / Oregon Coast
previous topic :: next topic  
Author Message
Gman

Since 11 Feb 2006
4911 Posts
Portland
Unstrapped



PostFri Jun 29, 07 10:39 am    I killed Tomasi Reply with quote

Nearly killed Tommy - be careful out there - we were aware of the unsettled weather and expecting gusty stuff last Sunday - hell I was on a 5m but surprising how quick things can go bad.

One minute it is blowing 20 and a having a casual chat while preparing to launch the last man on the beach with my kite in the air - next minute blowing 40+ and getting yarded and giving Tom the launch of death. Very scary watching Tom's kite rocket across the window and then blow away.


Heal up Tommy Boy.


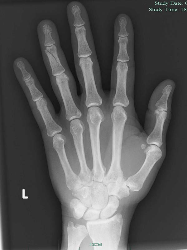
   Toms Fracture.jpg 

_________________
Go Deep!


https://m.youtube.com/watch?v=eu2pBpQolKE

View user's profile Send private message
pacifichigh

Since 11 May 2005
1004 Posts
ATX
Texan



PostFri Jun 29, 07 10:45 am     Reply with quote

Are you sure that you guys were not playing cornhole at the 'secret spot'??

View user's profile Send private message Visit poster's website
pkh

Since 27 Feb 2005
6549 Posts
Couve / Hood
Honored Founder



PostFri Jun 29, 07 10:53 am     Reply with quote

I say as punishment he gets to run over your finger in his truck. Wink

View user's profile Send private message Send e-mail
Gman

Since 11 Feb 2006
4911 Posts
Portland
Unstrapped



PostFri Jun 29, 07 10:59 am     Reply with quote

pkh wrote:
I say as punishment he gets to run over your finger in his truck. Wink


http://theytookmythumb.ytmnd.com/

_________________
Go Deep!


https://m.youtube.com/watch?v=eu2pBpQolKE

View user's profile Send private message
Bettyboarder

Since 18 Mar 2005
1823 Posts
PDX/ White Salmon
XTreme Poster



PostFri Jun 29, 07 11:00 am     Reply with quote

Rollo dont you get hurt every season about this same time? Rib, ear drum, finger. Maybe we need to put you in a full padded suit for your own safety. Hope you heal up fast.
_________________
Join the CGKA! Membership is only $10! Sign up at http://cgka.net/become-a-member/

View user's profile Send private message
kss

Since 24 Apr 2006
614 Posts
pdx
Addicted



PostFri Jun 29, 07 11:16 am     Reply with quote

hang in there rollio man. ouch!

View user's profile Send private message
Kodiak

Since 01 Aug 2005
1114 Posts

Slidey



PostFri Jun 29, 07 11:24 am     Reply with quote

Bummer dude, cool x-ray though Laughing

View user's profile Send private message
tinyE

Since 21 Jan 2006
2004 Posts
not really an
XTreme Poster



PostFri Jun 29, 07 11:25 am     Reply with quote

oh man.... another to the crip list! heal up fast tom!

View user's profile Send private message
kss

Since 24 Apr 2006
614 Posts
pdx
Addicted



PostFri Jun 29, 07 11:36 am     Reply with quote

yeah crip city! i got plenty of extra athletic tape to wrap that finger up tom. just let me know if you need any.

View user's profile Send private message
pacifichigh

Since 11 May 2005
1004 Posts
ATX
Texan



PostFri Jun 29, 07 12:15 pm     Reply with quote

It's only a mile Rollo. You'll be back before you know it. Let's go get drunk on the boat!

View user's profile Send private message Visit poster's website
Kraemer

Since 24 Apr 2006
1736 Posts
Sky Pilot
Unicorn Captain



PostFri Jun 29, 07 12:23 pm     Reply with quote

...that kinda looks like it hurt.... Get Well Soon!

View user's profile Send private message
TWIN-FIN

Since 24 May 2006
805 Posts
Portland, OR
Hot Monkey



PostFri Jun 29, 07 12:37 pm     Reply with quote

Sorry to hear about your finger Rollo.
How long will you be off the water?
Maybe all you need to do is tape a Popsicle stick to it, eat a couple of pain killers and hit it. Shocked
I hope you heal fast. Nows a great time to work on your camera skills.
See ya soon

View user's profile Send private message
pdxmonkeyboy

Since 16 May 2006
6081 Posts
forever labled as the
retired kiter & motorhead Unicorn Master



PostFri Jun 29, 07 2:04 pm     Reply with quote

Gman wrote:
pkh wrote:
I say as punishment he gets to run over your finger in his truck. Wink


http://theytookmythumb.ytmnd.com/


Thanks G, know I am certain there is a website for EVERYTHING

View user's profile Send private message Visit poster's website
Kraemer

Since 24 Apr 2006
1736 Posts
Sky Pilot
Unicorn Captain



PostFri Jun 29, 07 3:22 pm     Reply with quote

There is a website for everything....even rollo!

http://en.wikipedia.org/wiki/Rollo_Tomasi

View user's profile Send private message
tautologies

Since 24 Aug 2006
602 Posts
Oahu
Addicted



PostFri Jun 29, 07 10:28 pm     Reply with quote

heal up fast...it could be worse (or they took my thumb take two...this time for real):

http://youtube.com/watch?v=imfbco0TTdc



A.

View user's profile Send private message
amery

Since 05 Aug 2005
60 Posts

Choad



PostFri Jun 29, 07 11:52 pm     Reply with quote

Don't worry Tommy, you have another hand to kite with. Laughing

Get better!

_________________
my brown eye has glaucoma

View user's profile Send private message Visit poster's website
pkh

Since 27 Feb 2005
6549 Posts
Couve / Hood
Honored Founder



PostSat Jun 30, 07 6:31 am     Reply with quote

tautologies wrote:
heal up fast...it could be worse (or they took my thumb take two...this time for real):

http://youtube.com/watch?v=imfbco0TTdc



A.


Shocked

View user's profile Send private message Send e-mail
Post new topic   Reply to topic    Northwest Kiteboarding -> Gorge / Portland / Oregon Coast All times are GMT - 8 Hours
Page 1, 2  Next
Page 1 of 2

 
Jump to:  
You cannot post new topics in this forum
You cannot reply to topics in this forum
You cannot edit your posts in this forum
You cannot delete your posts in this forum
You cannot vote in polls in this forum
You can attach files in this forum
You can download files in this forum